Potential Long Term Effects of COVID-19 on the Body
- Race to a Cure Authors

- Jun 14, 2020
- 4 min read
Updated: Jun 15, 2020
The severeness of COVID-19 depends on each infected individual. Many COVID-19 cases only experience mild symptoms, but there are extreme situations where individuals need to be hospitalized and breathe with the aid of a ventilator.
It is a fact that the symptoms of COVID-19 are known, but the severity is unpredictable. But what about the long term effects on the body, weeks, months, even years after the pandemic has passed?
Lung Damage
According to CBC, many doctors believe that COVID-19 can, and will lead to long term lung damage; the level of this damage however, depends on the severity and nature of each individual's symptoms.
Long after infection and recovery, some patients have reported a burning sensation in the lungs as well as a dry cough. A reason for this is the fact that the virus elicits an aggressive immune response in the body, characterized by pus and mucus in the lungs. This pus and mucus trap debris which would have normally been cleared through regular breathing. Also, when the spaces in the lungs full of these materials, it consequently makes the lungs less pliable, complicating breathing.
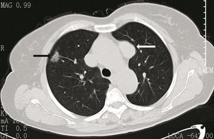
Lung scarring is also a strong possibility. When CT scans were taken of former COVID-19 patients, there were visible patches of unrepaired tissue, named "ground-glass opacities," as per Vox News. A study in China found that these glass opacities were found in a whopping 77% of COVID-19 patients. COVID-19 affects both lungs, unlike other respiratory epidemics of the past (SARS, MERS), escalating the risk of long-term scarring.

Above is a CT-scan of a chest showing a ground-glass opacity in the right superior lobe (black arrow). Image is courtesy of Research Gate.
Different people react differently to the virus. Those with a mild infection with likely have near-zero long term damage to the lungs. Yet, those who have developed secondary infections, like pneumonia and/or were placed on machine assistance, may experience long term damage.
Even ventilators have the potential to cause damage. Individuals in severe respiratory distress that required the aid of a ventilator can experience a decline in lung function, loss of muscle mass, and even PTSD.
Mental Health
Individuals that have experienced a severe case of COVID-19 can develop something called Post Intensive Care Syndrome (PICS), as placement in the ICU came come with significant consequences, states Healthline Media.
PICS describes individuals who have survived a severe critical illness and have been placed in the ICU to survive. Some later consequences can include various mental health concerns, physical impairment, like weakness and malnutrition, and cognitive impairment, like decreased memory/attention/problem-solving skills.
Blood Dysfunction
Many patients diagnosed with COVID-19 experience high rates of blood clots, most likely caused by the aggressive immune response. These blood clots can cause long-lasting damage and place an individual at risk for other health scares in the future.
Blood clots in the brain can lead to stroke, which has the possibility of permanently incapacitating an individual if they survive. Unfortunately, however, many strokes lead to death.
Blood clots in other major organs also present a high risk.
Kidneys: Blood clots in this organ have been linked to renal failure in COVID-19 who have long recovered.
Major Blood Vessels: These clots can cause deep vein thrombosis which occurs when a blood clot forms in a major vein, as well as abnormal clotting in all blood vessels.
The heart also experiences a high amount of stress during infection as the body attempts to function with critically low oxygen levels. Currently, as said by Vox News, researchers are looking into possible inflammation of the heart muscle caused by COVID-19. They have identified the heart's many ACE2 receptors as a potential entry point for the virus.

Image above demonstrates how the ACE2 receptor is responsible for mediating infection by SARS-CoV-2, the coronavirus responsible for COVID-19. Image is courtesy of R&D Systems.
A study from Wuhan, China in January found that 12 percent of COVID-19 patients had signs of cardiovascular damage. They were found to have higher levels of troponin, which is a protein that the injured heart muscle releases in the blood.
COVID-19 has been linked to myocarditis (an inflammatory disorder that is in most cases, idiopathic; idiopathic is a term relating to or denoting any condition or disease that arises spontaneously, or for unknown causes) and cardiomyopathy (a disease of the heart muscle that makes it more difficult for the heart to pump blood to the rest of the body).
Central Nervous System
COVID-19 has potential long-term effects on the central nervous system as well. More than a third of 214 patients hospitalized with COVID-19 reported dizziness, headaches, and impairment in consciousness, vision, taste, and smell long after the infection. These patients reported nerve pain as well.
Some projected long term neurological effects can include decreased attention span, concentration, memory, and dysfunction in the peripheral nervous system, which has the potential to lead to numbness/twitching in the arms, legs, fingers, and toes.
References:
Citroner, G. (2020, May 21). Does COVID-19 cause long-term damage to your body? Your
COVID-19 questions answered | CBC News. Retrieved June 6, 2020, from
Mayor, L., & Bessonov, A. (2020, May 21). What We Know About the Long-Term Effects of
COVID-19. Retrieved June 6, 2020, from https://www.healthline.com/health-news/what-we-
Parshley, L. (2020, May 8). The emerging long-term complications of Covid-19, explained.
Retrieved June 6, 2020, from https://www.vox.com/2020/5/8/21251899/coronavirus-long-
Featured image courtesy of Pixelbay.
Article Contributors: Rahma Osman, Olivia Ye



Comments